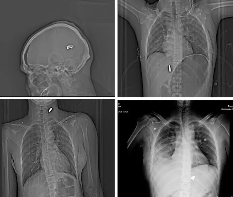
كشفت مجموعة من الصور الطبية التي حصلت عليها صحيفة "غارديان" من أحد المستشفيات الإيرانية عن حجم الإصابات البالغة التي تعرض لها متظاهرون خلال حملة قمع عنيفة في يناير الماضي.
وأظهرت هذه الصور التي تجاوز عددها 75 فحصا بالأشعة السينية والتصوير المقطعي، أنماطا مروعة من الإصابات الناجمة عن استخدام بنادق هجومية وطلقات صيد معدنية ضد المحتجين.
إصابات بـ"رصاص الطيور"
إحدى الحالات التي وثقتها الصور تعود لشابة في العشرينات تدعى أناهيتا، فقدت إحدى عينيها وربما كلتيهما بعد أن اخترقت عشرات الكرات المعدنية وجهها.
وأظهرت الفحوصات إصابات قاتلة أخرى بينها رصاصة كبيرة العيار استقرت في دماغ رجل منتصف العمر، وأخرى مزقت القصبة الهوائية لشاب إضافة إلى إصابات في العمود الفقري والصدر والرئة.
وأكد الخبراء الذين راجعوا هذه الوثائق أن النمط المتكرر للإصابات يشير إلى استهداف مباشر لمناطق حيوية مثل الوجه والصدر والأعضاء التناسلية، وهو ما يعكس نية متعمدة لإحداث إعاقات دائمة.
وأوضحوا أن استخدام "رصاص الطيور" من مسافات قريبة يحول كل طلقة إلى عشرات المقذوفات الصغيرة القادرة على تدمير الأنسجة الرخوة وإحداث نزيف داخلي خطير.
ووصفت التقييمات الطبية الحالات بأنها "إصابات جماعية" تتجاوز قدرة المستشفيات على الاستجابة، حتى في دول ذات أنظمة صحية متقدمة. وأكدت منظمة أطباء من أجل حقوق الإنسان أن العدد الكبير من الإصابات وشدتها "صادم" ويعكس استخداما غير مسبوق للذخيرة الحية ضد المدنيين.
احتجاجات وعنف
وتشير شهادات أطباء داخل إيران إلى أن الضحايا شملوا نساء وأطفالا وكبار سن، بينهم فتاة في 14 فقدت عينها، وجدة في الستينيات فارقت الحياة بعد إصابتها برصاص الطيور.
وتقدم هذه الأدلة الطبية إلى جانب الشهادات الميدانية، تقدم صورة دامغة عن حجم العنف الذي واجه به النظام الإيراني موجة الاحتجاجات الأخيرة.
أن ما جرى يتجاوز حدود السيطرة التقليدية على الحشود ليصل إلى مستوى استهداف ممنهج يترك آثارا جسدية ونفسية طويلة الأمد.